DNA Medicine Institute (DMI) is dedicated to transforming how health data is collected and delivered. Our mission is to create compact, easy-to-use diagnostic devices that empower healthcare providers, humanitarian organizations, and patients in any environment — whether in remote villages, field hospitals, or space missions.

Advancing Global Health Through Accessible Diagnostics

Partner With Us

Advancing Global Health Through Accessible Innovation

DMI is deeply committed to developing affordable, scalable diagnostic tools, vaccines, therapeutics, and medical technologies that address unmet needs in global health. Around the world, access to quality healthcare remains uneven — especially in regions burdened by widespread and difficult-to-treat diseases such as malaria and tuberculosis. Our research efforts are focused on breaking these barriers through innovation designed for real-world deployment, not just laboratory success.

Non-Invasive Malaria Diagnosis

The current gold standard for malaria detection — light microscopy — is costly, labor-intensive, and requires a highly trained operator. These barriers limit early diagnosis and restrict availability in high-need regions.

Our non-invasive diagnostic approach is engineered to be faster, safer, and more intuitive, eliminating the need for blood draws and reducing operator risk. By detecting hemozoin, a distinct byproduct of Plasmodium infection with unique optical signatures, our LED-based diagnostic prototype has demonstrated exceptional sensitivity.

In testing, it successfully measured β-hematin (BH) in blood at parasitemia levels as low as 0.0002% — ten times more sensitive than the minimum detection standards recommended by the World Health Organization.

This technology has the potential to revolutionize malaria screening and surveillance by making diagnostics simpler, earlier, and far more accessible in low-resource settings.

LED Malaria Scanner and Results

 (A) Prototype LED scanner, battery-powered, that allows highly sensitive detection of malarial hemozoin.  (B)  0.0002% equivalent parasitemia detected using the prototype device.  The voltage changes on the photodiodes are measured for BH spiked into blood and blood alone.
Chan, EY, Maiorca, K, Bae, C., Sharpe, N., Tripuraneni, V, Sharpe, J.  Malaria β-haematin in blood results in synergistic attenuation enhancement:  Studies with a conventional multimode reader and a custom LED device.  Malaria World Journal.  May 27, 2013 – 19:50.

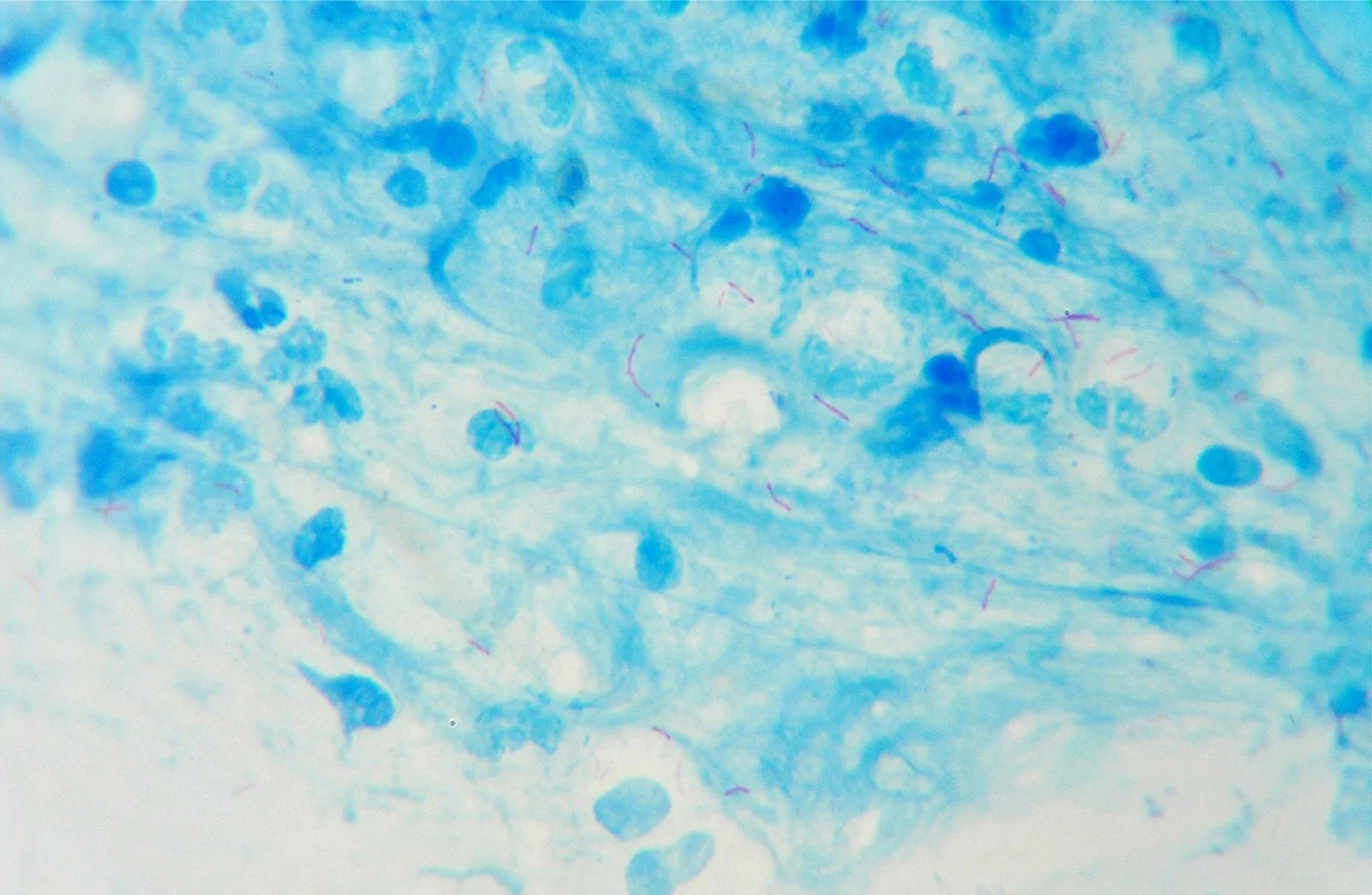
Diagnosis of Latent Tuberculosis

Infection with Mycobacterium tuberculosis is challenging to detect given that it can remain asymptomatic for many years.  Latent TB can become active an lead to disease, whose symptoms include night sweats, chronic cough, blood-tinged sputum, and weight loss.  Strains of multi-drug resistant TB have arisen, which further compound the problem.  Unfortunately, methods to diagnose latent TB are challenging.  Currently, the PPD test is widespread, but there are significant false positives, part of which arise from those vaccinated with the bacillus Calmette-Guérin vaccine.  We are currently developing a simple method to diagnose latent TB.